Trong hành trình hơn 8 năm làm nghề tại Thú y T Vet, tôi đã gặp không ít trường hợp các "bé" nhập viện trong tình trạng lâm sàng rất mơ hồ: chỉ là một cơn ho nhẹ, một lần bỏ bữa hay cái điệu bộ đi đứng hơi khập khiễng. Ở loài vật, chúng không thể nói cho chúng ta biết mình đau ở đâu hay đau như thế nào. Đó là lý do tại sao chụp X-quang trở thành một trong những công cụ chẩn đoán hình ảnh không thể thiếu, giúp bác sĩ "nhìn thấu" những bí mật bên trong cơ thể nhỏ bé ấy.
Hôm nay, hãy cùng Thú y T Vet quận 7 tìm hiểu tại sao X-quang lại là chìa khóa vàng trong điều trị thú y thực tiễn.
Phổi là cơ quan cực kỳ nhạy cảm. Khi mèo hoặc chó của bạn có dấu hiệu khó thở, khò khè hoặc ho kéo dài, việc nghe tim phổi bằng ống nghe đôi khi không đủ để đưa ra kết luận chính xác.
Thông qua phim chụp X-quang ngực, chúng tôi có thể quan sát được độ tương phản của nhu mô phổi. Những hình ảnh như:
• Phế quản viêm: Đường dẫn khí dày lên tạo thành hình "đường ray" hoặc "bánh vòng".

Hình ảnh: viêm phế quản, viêm phế nang
• Phù phổi/Viêm phổi: Các đám mờ (thâm nhiễm) xuất hiện thay vì màu đen của không khí.
• Tràn dịch màng phổi: Chất lỏng lấp đầy khoang ngực, ép xẹp nhu mô phổi, khiến con vật khó thở cấp tính.
.jpeg)
Hình ảnh: phổi thủng khí tràn ra ngoài mô
Việc phát hiện sớm giúp chúng ta đưa ra phác đồ kháng sinh hoặc thuốc giãn phế quản chính xác, tránh tình trạng suy hô hấp dẫn đến tử vong.
Không chỉ có siêu âm, X-quang cũng đóng vai trò trọng yếu trong việc tầm soát tim mạch. Tại Thú y T Vet Huỳnh Tấn Phát, chúng tôi thường sử dụng chỉ số VHS (Vertebral Heart Size) trên phim X-quang để đo lường kích thước tim so với cột sống.
Nếu tim có dấu hiệu to bất thường (Tim bò), hoặc bóng tim đè ép vào khí quản, đó có thể là dấu hiệu của bệnh suy tim, bệnh cơ tim giãn hoặc bệnh giun tim. Phát hiện sớm giúp thú cưng được sử dụng thuốc hỗ trợ tim mạch kịp thời, kéo dài tuổi thọ đáng kể.
.jpeg)
Hình ảnh: tim phì đại, và đo kích thước tim để xác định.
Đây là ứng dụng phổ biến nhất của X-quang. Từ những va chạm nhỏ đến các tai nạn giao thông nghiêm trọng, việc kiểm tra cấu trúc xương là bắt buộc. Dịch vụ X-quang giúp bác sĩ xác định:
• Vị trí gãy xương chính xác (xương đùi, xương chậu, xương trụ...).
• Kiểu gãy: Gãy cành tươi, gãy phức tạp, hay gãy hở.
• Độ lệch của các đầu xương để tiến hành phẫu thuật kết hợp xương (đóng đinh, bắt vít) hiệu quả nhất.
.jpeg)
Hình ảnh: chân vòng kiềng, ở các bé chân ngắn
.jpeg)
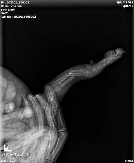
Hình ảnh: gãy xương trụ và xương quay trước
Chó mèo, đặc biệt là các bé ở độ tuổi "nhi đồng", thường có thói quen gặm nhấm mọi thứ: kim khâu, xương gà, đồ chơi cao su, hay thậm chí là vớ, kim, trang sức,..
X-quang giúp chúng tôi định vị được dị vật đang nằm ở thực quản, dạ dày hay đã xuống ruột non. Có những dị vật không cản quang (như nhựa, vải), khi đó bác sĩ sẽ cần sử dụng phương pháp chụp X-quang có cản quang (uống Barium) để theo dõi sự lưu thông của đường ruột. Phát hiện sớm dị vật giúp tránh được tình trạng hoại tử ruột, viêm phúc mạc – những biến chứng có tỉ lệ tử vong cực cao.
.jpeg)
Hình ảnh: dị vật trang sức trong ruột
>>> Xem thêm: T-Vet: Nơi gửi gắm trọn vẹn niềm tin cho người bạn bốn chân của bạn
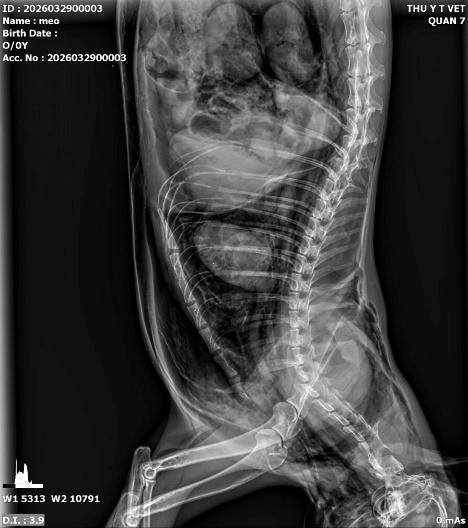
Nhiều chủ nuôi lo lắng khi thấy chó, mèo đi tiểu ra máu hoặc rặn tiểu đau đớn. Ngoài siêu âm, X-quang là công cụ đắc lực để phát hiện các viên sỏi có độ cản quang cao (như sỏi Canxi Oxalate hoặc Struvite).
Phim X-quang cho biết số lượng và kích thước sỏi trong bàng quang hoặc niệu đạo. Đây là căn cứ quan trọng để bác sĩ quyết định điều trị nội khoa (tan sỏi) hay phải can thiệp phẫu thuật mở bàng quang lấy sỏi ngay lập tức.
.jpeg)
.jpeg)
Hình ảnh: sạn và kích thước sạn trong bàng quang của bé chó
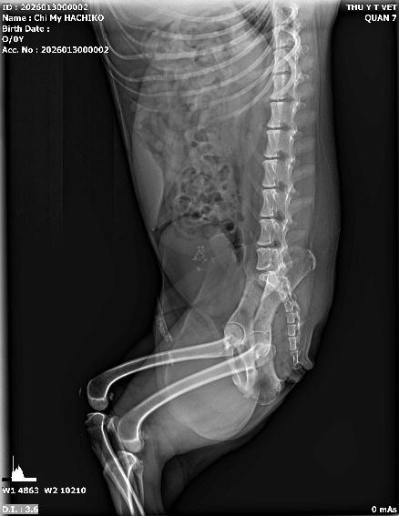
Tình trạng táo bón kinh niên dẫn đến giãn đại tràng (Megacolon) rất thường gặp ở mèo già hoặc mèo ăn quá nhiều xương nhưng ít uống nước. Trên phim X-quang, bác sĩ sẽ thấy hình ảnh đại tràng giãn lớn, chứa đầy khối phân nén chặt, khô cứng. Nếu không giải quyết kịp thời, độc tố từ phân sẽ thấm ngược vào máu gây nhiễm độc cơ thể. Chụp X-quang giúp chúng tôi đánh giá mức độ nghiêm trọng để có phương án thụt tháo hoặc phẫu thuật cắt bỏ đoạn đại tràng bị giãn.
.jpeg)
Hình ảnh: tắc phân trên bé mèo
Mỗi tấm phim X-quang không chỉ là một bức ảnh, nó là bằng chứng khoa học giúp chúng tôi loại bỏ các suy đoán cảm tính và đưa ra quyết định điều trị chính xác nhất. Đừng ngần ngại để bé được chụp X-quang khi bác sĩ chỉ định, vì đó chính là cách bạn đang bảo vệ tính mạng của các bé một cách trách nhiệm nhất.
Hy vọng bài viết này đã giúp các "sen" hiểu rõ hơn về giá trị của công nghệ trong y học thú y hiện đại. Nếu bé nhà bạn có bất kỳ dấu hiệu bất thường nào, hãy đưa bé đến Thú y T Vet quận 7 để được thăm khám kịp thời nhé!
THÚ Y T-VET
Địa chỉ: 1148 Huỳnh Tấn Phát, p Tân Mỹ , TP.HCM
Hotline: 077.877.1197
© Bản quyền thuộc về THÚ Y TVET Cung cấp bởi BMWEB co.ltd
Đang online: 4 | Tổng truy cập: 207597